Super customer service, love the new unit. Only complaint is minor: cord too long on probe ... simple fix with zip-strips. Guess too long is better than too short.
Great company to work with!
Product is good quality.
9752781219
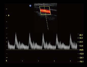
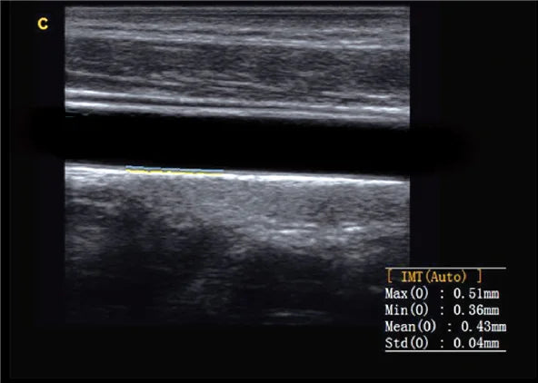
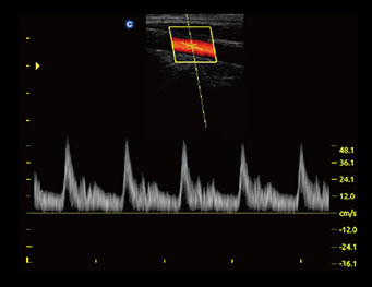
I feel this unit gives a good image especially for the price. Is this unit going to beat out a $25K unit, not likely unless you got a bad deal. Are you going to be finding adrenals routinely with this unit, probably not. Want to ultrasound a liver, spleen, bladder - your good.
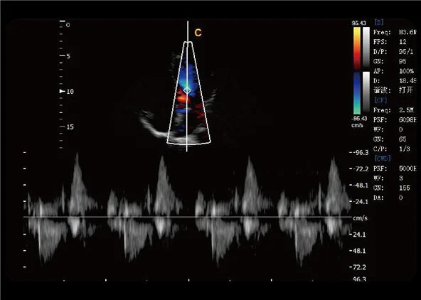
I have owned a Mindray DP3300 (around 2007 model) and a GE P5 and a P6. The image quality compared to the Mindray is not even comparable, the Mindray sucks by comparison. Keep in mind that it is over 11 years old though but I did pay about $9k for it at that time. Compared to the P5 or P6 is a little more subjective, depends on what you are imaging etc. Yes the P5 and P6 do image better, the motion is a little smoother and the edges a little better contrast. Again these are about 8 year old machines by comparison but would cost $30-40K new + as I use 2 probes. Even used a P5 will cost 10K w/ an appropriate probe.
I mainly got this to replace my Mindray at a satellite clinic and still allow me to do spleen, liver and bladder scans on an ER basis. This unit far exceeds those expectations and I feel comfortable doing a solid abdominal ultrasound with this device. I can not comment on Color Flow etc as not why I got the unit. So far only cons is t does take about 40 seconds to boot up and separating backups besides dicom.
For service, I have talked to Stole multiple times in the past, very informative and patient not pushy. I was also allowed to go to their facility and test out a few machines prior to purchase, staff there was also helpful and friendly. As a note, I tested the Ebit 50 out and would highly recommend that unit for indivduals doing more advanced ultrasounds. I would rate the Ebit above my GE P6 on the limited sample of images I obtained with it.
If your on a budget yet need good solid images, this is probably the best unit you are going to come by even close to this price. If you have more funds or wanting an upgrade look into the Ebit series.
Super customer service, love the new unit. Only complaint is minor: cord too long on probe ... simple fix with zip-strips. Guess too long is better than too short.
Great company to work with!
Product is good quality.
9752781219
I feel this unit gives a good image especially for the price. Is this unit going to beat out a $25K unit, not likely unless you got a bad deal. Are you going to be finding adrenals routinely with this unit, probably not. Want to ultrasound a liver, spleen, bladder - your good.
I have owned a Mindray DP3300 (around 2007 model) and a GE P5 and a P6. The image quality compared to the Mindray is not even comparable, the Mindray sucks by comparison. Keep in mind that it is over 11 years old though but I did pay about $9k for it at that time. Compared to the P5 or P6 is a little more subjective, depends on what you are imaging etc. Yes the P5 and P6 do image better, the motion is a little smoother and the edges a little better contrast. Again these are about 8 year old machines by comparison but would cost $30-40K new + as I use 2 probes. Even used a P5 will cost 10K w/ an appropriate probe.
I mainly got this to replace my Mindray at a satellite clinic and still allow me to do spleen, liver and bladder scans on an ER basis. This unit far exceeds those expectations and I feel comfortable doing a solid abdominal ultrasound with this device. I can not comment on Color Flow etc as not why I got the unit. So far only cons is t does take about 40 seconds to boot up and separating backups besides dicom.
For service, I have talked to Stole multiple times in the past, very informative and patient not pushy. I was also allowed to go to their facility and test out a few machines prior to purchase, staff there was also helpful and friendly. As a note, I tested the Ebit 50 out and would highly recommend that unit for indivduals doing more advanced ultrasounds. I would rate the Ebit above my GE P6 on the limited sample of images I obtained with it.
If your on a budget yet need good solid images, this is probably the best unit you are going to come by even close to this price. If you have more funds or wanting an upgrade look into the Ebit series.